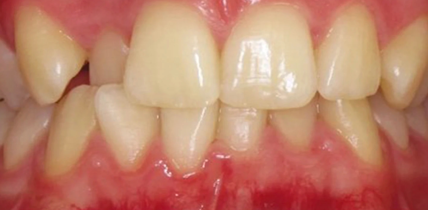
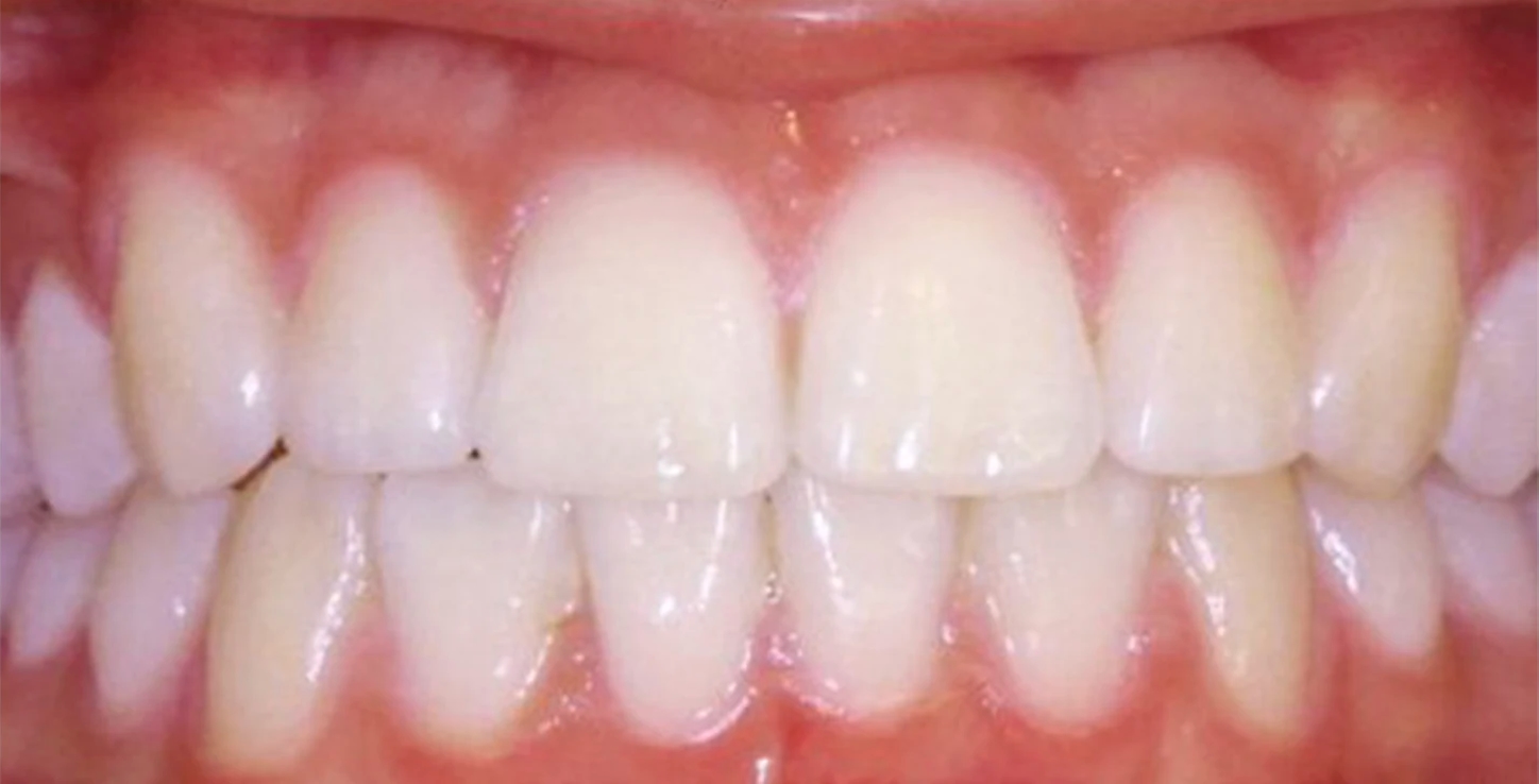
Routine Dentistry








Testimonials
Whether you’ve chipped a tooth or simply need to be seen quickly, our friendly team will do everything possible to accommodate you without delay. From urgent concerns to last-minute check-ups, we’ll make sure you’re seen promptly, cared for with ease, and back to feeling confident in your smile in no time.